一、背景介绍
关于膝关节单纯性前内侧骨关节炎(OA)的最佳手术治疗方法的争论仍在继续。虽然胫骨高位截骨术是一种选择,但大多数患者接受膝关节单髁置换(UKA)或全膝关节置换术(TKA)。UKA从20世纪50年代就开始了,然而,最初的设计充满了复杂性。随着组件设计和仪器的发展,UKA的应用越来越广泛。UKA与TKA相比有很多优势,包括改善膝关节活动度、功能恢复和更少的并发症。此外,UKA的医疗并发症明显少于TKA。
多年来,美国和全球对UKA的使用有所不同。在美国,从2002年到2008年,UKA的使用一直在稳步增长,之后出现了下降。2018年澳大利亚国家关节置换术登记处的数据显示,2017年部分膝关节置换术占初次膝关节置换术的8.6%,低于2003年的16.9%。2017年英格兰和威尔士国家联合登记处(NJREW)报告的UKA使用发生率为8.9%,在过去十年中保持一致,并不是所有的关节置换术医生都会进行UKA,只有一小部分外科医生会进行。大部分的手术外科医生对UKA的印象往往相当刻板,既有少数狂热者,也有直言不讳的批评者。本文介绍了美国和全球对UKA的看法。
二、内侧膝关节单髁置换指征
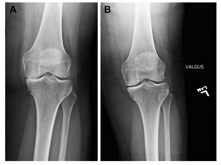
Kozinn和Soctt的经典限制性纳入标准在现代研究中得到了极大的扩展,这些研究表明UKA在年轻患者、肥胖患者、髌股疾病患者以及那些非常活跃的患者中取得了成功。无论如何,正确的患者选择对于确保UKA的成功结果仍然至关重要。对于所有前内侧OA(图1)、畸形可纠正(图2)、膝关节韧带完好、膝关节活动范围保留、屈曲挛缩小的患者,都可以考虑内侧UKA。
图1:计算机断层扫描显示前内侧骨关节炎。
图2:(A)站立正位X线片显示内侧关节间隙丢失。(B)外翻应力X线片显示可矫正的对齐和对侧关节空间的保存。
三、膝关节单髁置换与全膝关节置换术:
临床功能结局
尽管TKA在一系列指标上取得了良好的结果,但仍有一部分患者对其结果不完全满意,并遭受持续的功能活动受损和持续的术后疼痛。在一项多中心研究中,Nam及其同事报道,尽管90%的TKA患者对其膝关节功能总体满意,但只有66%的患者认为他们的膝关节“正常”,近一半的患者表现出残留症状和功能问题。症状的持续性为其他植入物的概念提供了依据,可以改善膝关节感觉,取得更好的临床功能结果。
由于UKA具有保留十字交叉韧带的特性,以及其完整的对侧腔室和髌股解剖结构,使其与原膝关节的膝关节活动度更加紧密匹配。这导致更正常的步态,以及减少围手术期创伤,更大的活动范围和更快的康复。在一组23例单膝UKA和对侧TKA患者中,患者更常报告UKA感觉正常。在UKA和TKA的10年最小倾向匹配分析中,Burn和同事发现UKA拥有更好的牛津大学膝关节评分和EQ-5D相关。UKA还与良好的临床功能结局、优良的牛津大学膝关节评分和EQ-5D。
四、膝关节单髁置换与全膝关节置换术:
围手术期并发症
与TKA相比,UKA是一种侵入性较小的手术,因此美国和全球的研究显示,这些手术的风险概况不同。在美国进行TKA与UKA的肥胖患者的2:1匹配队列研究中,UKA队列的失血量显著减少,感染率也较低(0% vs 0.5%)。此外,TKA组的操纵风险(6.5%)明显高于UKA组(0.5%)(P<.001)。Hansen及其同事的另一项美国研究,通过分析2004年至2012年5%的医疗保险样本,比较了UKA和TKA的并发症和结果。与TKA相比,UKA的伤口并发症、肺栓塞、感染、心肌梗死、再入院和死亡显著降低。
在NJREW的分析中,Liddle及其同事发现TKA患者的平均住院时间、血栓栓塞、心肌梗死、中风等医疗并发症的发生率和再入院率均高于UKA患者。此外,UKA组的30天和8年死亡率低于TKA组,风险比分别为0.23和0.85。Hunt及其同事对来自同一注册中心的467,779例初次膝关节置换术进行了分析,发现UKA的45天死亡率明显低于TKA,风险比为0.32 (P<.0005)。通过印度、英国、加拿大和美国的研究,全球一致认为,与TKA相比,UKA的住院时间更短,再入院率更低。
五、膝关节单髁置换与全膝关节置换术:
生存率
外科医生必须平衡UKA的功能改善和较低的医疗并发症,与TKA相比,UKA的生存率一直较低。例如,澳大利亚骨科协会国家关节置换登记报告发现,原发性骨性关节炎患者TKA和UKA的10年生存率分别为94.4%和84.7%,这种差异也反映在NJREW和瑞典膝关节置换术登记年度报告中。第15届NJR年度报告指出,TKA的14年累计修正率为6%,而UKA的修正率为16.9%。在一项评估美国医保患者中UKA与TKA的8年生存率的研究中,Hansen及其同事报告称UKA的7年生存率为80.9%,TKA为95.7%。一项对来自6个国家注册中心和临床研究的累积数据的系统回顾发现,TKA的总体10年修正率为6.2%,而UKA为16.5%。Liddle和同事使用倾向匹配来调整混淆的基线患者人口统计数据,对NJREW的25334个UKA和75,996个TKA进行了比较。在8年的随访中,他们发现无论是翻修还是再手术,UKA的植入物存活率都低于TKA。
一些人认为,UKA和TKA翻修率的差异可能是由于外科医生翻修疼痛UKA的门槛较低。在他们对包括结果数据的新西兰联合登记处的分析中,Goodfellow和同事发现UKA后报告良好或优秀结果的患者比例明显高于TKA,报告不良或一般结果的患者比例明显低于TKA。虽然两组结果评分较低的患者翻修率都有所增加,但在牛津大学膝关节评分小于20的相同评分类别下,UKA患者的翻修率是TKA患者的6倍。对挪威关节成形术登记的分析发现,UKA因疼痛而翻修的可能性是TKA的11倍以上,相对风险为11.3 (P<0.001)。
最终,根据现有文献,UKA和TKA之间的选择仍然是功能和存活之间的选择,术前更好地分析患者导致关节炎进展的疾病过程,更好地了解膝关节置换术后的疼痛,可以减少对TKA进行必要翻修的次数。
六、骨水泥与非骨水泥膝关节单髁置换
虽然大多数UKA设计使用骨水泥固定,手术的微创性质会使骨水泥的插入和挤压具有挑战性。骨水泥渗入失败可导致固定失败和无菌性松动,这是UKA翻修的主要原因。挤压骨水泥可脱落并成为疏松体,在置换表面和膝关节非表面部分的正常关节软骨上造成磨损。无骨水泥UKA可以减少这些失败,实现更持久的长期固定。因此,近年来无骨水泥UKA越来越受欢迎。
来自Finish关节成形术注册中心的早期数据发现,无骨水泥UKA的5年生存率为92.3%,而骨水泥UKA的5年生存率为88.9%。在2018年NJREW报告中,无骨水泥UKA膝关节的10年生存率为87.3%,略高于骨水泥膝关节的85.1%。在骨水泥组与非骨水泥组的比较中,Pandit及其同事发现骨水泥组20/30膝关节的放射透明度明显高于非骨水泥组2/27膝关节的放射透明度。此外,骨水泥组膝关节有9个完全放射通透,而非骨水泥组则为零。这些发现得到了Kendrick及其同事的进一步支持,他们指出,与骨水泥UKA相比,无骨水泥UKA 2年的胫骨放射透明度显著降低。
据报道,无骨水泥UKA有一些罕见的并发症,包括胫骨假体早期下沉到外翻位置。一项尸体研究也表明,无骨水泥植入物可能更容易发生假体周围胫骨平台骨折(PTPF)。总的来说,无骨水泥UKA是一项很有前途的技术,尽管还需要更多的研究,骨水泥固定仍然是金标准。
七、固定与移动膝关节单髁置换
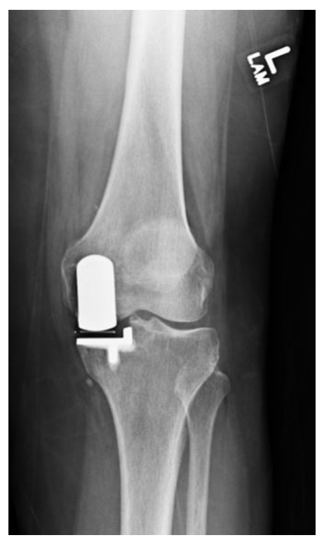
固定轴承(FB)(图3)和移动轴承(MB)(图4)是UKA的两个主要设计概念。尽管MB假体相对于FB设计的理论优势使其越来越受欢迎,聚乙烯制造的改进显著降低了FB设计中的磨损,由于聚乙烯磨损不再是FB设计的主要问题,因此UKA的设计选择仍然存在争议。
图3:固定轴承内侧UKA的X光片。
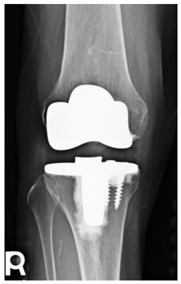
图4:可移动的内侧UKA的X光片
一些元分析比较了FB和MB设计。Peersman及其同事回顾了44项比较和非比较研究,涉及9463个膝关节。按年龄和随访时间分层后,FB植入物和MB植入物的生存率无明显差异。然而,MB膝关节的平均翻修时间较短,分别为2.5 – 1.8年和6.7 – 2.5年(P<0.001)。在另一项比较FB和MB UKA的荟萃分析中,Cheng和同事检查了9项研究,涉及915个膝盖。他们还发现,在临床结果评分、活动范围或翻修率方面,植入物之间没有显著差异。与Peersman及其同事相似,他们发现MB患者翻修时间明显提前(FB植入物5.0 vs 6.3年),MB患者由于轴承脱位导致早期失败。在FB组中,后来的失败更常见的原因是聚乙烯磨损。Smith及其同事确定了5项比较FB和MB植入物用于内侧和外侧UKA的研究,分别涉及165和159个膝关节。在医用UKA的临床结果方面,植入物类型之间没有显著差异,并发症发生率也没有差异。
总之,UKA在FB和MB设计之间的任何决定都受到缺乏可靠和设计良好的研究的缺陷,而且证据基础仅限于观察性研究和小型随机对照试验。然而,这两种植入物之间似乎没有什么大的区别。
八、单节段膝关节置换术的失败分析
▌无菌性松动
早期UKA失败最常见的原因是无菌性松动,占所有UKA翻修的28%至59.2%。这一趋势已在多个国际注册表中显示出来,包括瑞典、英格兰/威尔士、澳大利亚和意大利,以及美国机构案例系列。然而,大型报告中无菌性松动的总体发生率较低,中期随访报告的发生率在1.5%至2.7%之间。有一些特殊的UKA设计有更高的无菌性松动的报告发生率。在一项全聚乙烯和金属支撑胫骨托盘的随机试验中,全聚乙烯设计的无菌性松动发生率为37%。这可能归因于在这些设计中看到的更多的局灶性胫骨负荷。外科医生必须谨慎地将所有的放射透明度解释为无菌性松动。
▌关节炎的进展
通过适当选择患者和恰当的手术技术,UKA术后发生关节炎进展的风险很低(图5)。在至少10年的随访中,Emerson和同事发现由于横向进展而修正的发生率为4.2%。然而,关节炎进展是UKA中期(5-10年)和长期(> 10年)失败的最常见原因。在一项荟萃分析中,Van及其同事显示,超过10年的翻修中有40%是由于关节炎进展。在澳大利亚骨科协会国家关节置换术登记中,43.7%的UKA失败是由于疾病进展。NJREW 2018年报告指出,32.3%的UKA翻修是针对关节炎进展。骨性关节炎进展最重要的预测因素是手术时外侧骨室的关节炎程度,这强调了正确选择患者的重要性。如果术中发现全层外侧病变,应行TKA而不是UKA。
图5:显示侧面关节炎疾病进展的X线片。
▌疼痛
UKA后胫骨内侧疼痛可持续1年。更多的慢性持续性疼痛是UKA后8%的早期失败和10%的晚期失败的原因。即使在对齐良好的UKA中,胫骨近端内侧应力也会增加50%对于不明原因的疼痛,外科医生在修改UKA时应谨慎,因为结果明显比可以确定疼痛原因时更糟糕。
▌放射透明度
辐射亮度可以作为植入物松动的指示;然而,“生理性”胫骨辐射亮度(图6)是明确的、非进行性的辐射亮度,可在高达62%的Oxford UKA UKA中看到。这些生理性辐射亮度与临床结果或假体失效无关相对不熟悉透光性的外科医生可能会将膝关节内侧疼痛归咎于透光线的存在,并将UKA转换为TKA用于无菌性松动。这通常是不必要的,因为即使在功能良好的固井UKAs中,在接骨界面也可能出现清晰、清晰的透光线。
图6:显示生理性胫骨透光的x光片。
▌其他故障形式
轴承脱位是MB设计的独有并发症,据报道发病率在2%至3%之间。轴承脱位的原因是多因素的,但随着仪器的改进降低了风险。关键是要确保手术时没有残余的股骨后骨赘,这可能导致轴承撞击,导致前脱位。如果部件正确对齐,轴承经常位错可以通过去除任何撞击和更换新轴承来解决。
胫骨内侧塌陷(图7)或骨折是UKA术后罕见的并发症,仅占UKA失败翻修的2%。这些骨折可能与假体对齐以及手术技术有关。冠状位对内翻或任何外翻均较大的胫骨内翻会显著增加胫骨近端内侧的负荷。这些骨折的治疗可包括切开复位内固定或翻修TKA,这取决于骨折组件的稳定性和骨折大小。
图7:X线片显示胫骨内侧塌陷。
UKA后的假体周围关节感染(PJI)相当少见,报道的发病率在0%至1%之间。此外,UKA后的PJI明显低于TKA。然而,与TKA不同的是,UKA中PJI保留了原生软骨。因此,在这些UKA后的慢性PJI病例中,应该对TKA进行1或2期翻修,以从感染中去除受损的原生软骨。
九、单节段膝关节成形术至
全膝关节成形术的改良
UKA至TKA的翻修被认为是一种相对简单的手术,可能比原发TKA的翻修更有优势。然而,UKA至TKA的翻修通常比原发TKA更具挑战性,大约50%的患者会有明显的骨缺损,33%的病例需要加强固定。UKA失效的模式影响修正的复杂性,但大多数UKA修正可以使用主要组件成功完成(图8),胫骨塌陷的翻修具有最高的复杂性(图9),因为这些病例将更频繁地需要增加和约束。
图8:从以前的UKA翻修到TKA后的术后主要成分X线片。
图9:由于内侧塌陷导致UKA翻修失败后的术后X线片。
利用新西兰联合登记处1999年至2008年的数据,Pearse和同事检查了4284个UKAs,其中236个需要翻修,并将这些翻修与34369个主要TKA进行了比较。作者发现,Uni对Total的修正率是初级TKA的4倍,分别为1.97和0.48 / 100成分年(P<0.05)。Uni to Total组的平均牛津大学膝关节评分也明显低于初级TKA组,分别为30.02和37.16 (P<0.01),与这些发现相反,Lombardi及其同事报道了184例UKA – TKA修正。在至少6年的随访中,4.1%的膝关节需要复查。这一比率与机构对初级TKA的翻修率相似,但远低于他们对失败TKA的重新翻修率。UKA – TKA翻修组的平均膝关节协会功能评分为83.4。
十、膝关节单髁置换的结果与
医院和外科手术量有关
如果外科医生选择实施UKA,这应该是他们实践的一个专门部分,因为外科医生的经验会影响失败的风险。Liddle和他的同事发现,UKA后的修正率急剧下降,直到每年的数量达到10例,并稳定在每年30例。此外,他们发现病例负荷对UKA翻修风险的影响比TKA更大,这表明UKA可能是一种技术要求更高的手术。Baker及其同事建议,每年13次手术应该是实施UKA的最低门槛,他们对来自新西兰登记处和NJREW的23,400例UKA进行了登记分析。来自小容量医院的失败数据是脱位、不稳定、错位和骨折。挪威关节成形术登记表显示,每年手术次数超过40次的医院进行UKA翻修的风险低于每年手术次数少于10次的医院,经年龄、诊断和性别调整后的风险比为0.59。低容量医院失败的主要原因是脱位、不稳定、错位和骨折。由于外科医生可能很难增加他们的实践,增加UKA容量的一个选择是更密切地评估UKA的适应症。
十一、组件定位和使能技术
正确的假体定位对UKA的成功和存活至关重要。例如,与外侧关节间隙相比,内侧关节间隙降低大于2mm与更多的胫骨无菌性松动有关。在MB设计中,研究发现与胫骨假体过度内翻或外翻定位、内侧关节抬高、后侧斜度不足和胫骨假体内旋相关的轴承脱位率增加。过度内翻对准会减少股骨假体与胫骨的接触面积,从而增加接触应力,并可能导致磨损的增加。错位更常见于年手术量较少的外科医生。因此,提高对准精度的技术可能会使UKA比TKA更受益。目前UKA的手术还可以包含患者特异性仪器(PSI)、计算机导航和机器人辅助手术。
PSI是基于计算机断层扫描或MRI的仪器,以匹配个体患者的解剖结构。在一些研究中,PSI已被证明可以增强植入物的对齐,理论上,这应该可以改善手术结果并降低翻修的风险。在锯骨模型中,PSI技术允许经验不足的实习外科医生与大量经验丰富的外科医生进行相同的胫骨锯切。
计算机导航可以进一步提高组件定位的精度,显著减少异常值。Suda和他的同事发现,使用基于加速度计的便携式导航系统,在目标对准以内的精确度为100%,而传统仪器的冠状面精度为76.5%,矢状面精度为88.2%。在至少5年的随访中,Chowdhry和同事报告了252例使用计算机导航的UKA的97.6%的生存率。这一存活率可与TKA相媲美。
在过去的几年里,机器人技术一直处于关节成形术争论的前沿。机器人辅助UKA的一个挑战是,许多研究是由工业界资助的,由设计外科医生撰写文章。尽管机器人技术是否改善了部件的定位,几乎没有争议,但问题是,这项技术是否能改善患者的临床结局,以证明其成本是合理的。正如本文所讨论的,与TKA相比,组件定位可能对UKA的生存更为关键,因此该手术可能从提高的精度中获益更多。通过机器人技术,外科医生在手术过程中获得关于膝关节活动度、活动范围和植入物位置的连续实时反馈,并进行非常精确的骨切除。在一项机器人辅助与传统器械相匹配的前瞻性队列研究中,Kayani及其同事发现,机器人手臂辅助组明显减少了术后疼痛,减少了阿片类药物需求,缩短了直腿抬高的时间,减少了治疗次数,缩短了住院时间。这些早期临床改善可能与机器人辅助UKA减少了立体定向边界对关节周围软组织的损伤有关。然而,目前还没有研究表明机器人辅助可以提高UKA的中长期生存率。然而,机器人技术为年手术量较少的外科医生提供了高水平的植入物定位精度。
本文仅代表作者个人观点,不代表骨今中外官方立场。希望大家理性判断,有针对性地应用。
-
全髋关节置换术中下肢延长多少可能会对神经产生影响? -
全髋关节置换术后陶瓷假体碎裂的发生率有多少? -
全髋关节置换术后为何发生脱位?如何预防及处理? -
髋关节置换术后,不好意思问,又想知道的两性小知识~ -
如何精确定位全髋关节置换术前、术中、术后各类“前倾角”?

