肺CT诊断与误区1:树芽、轨道印戒、磨玻璃密度影、晕征+反晕(视频链接,关注我的另一个公众号,后期继续更新)
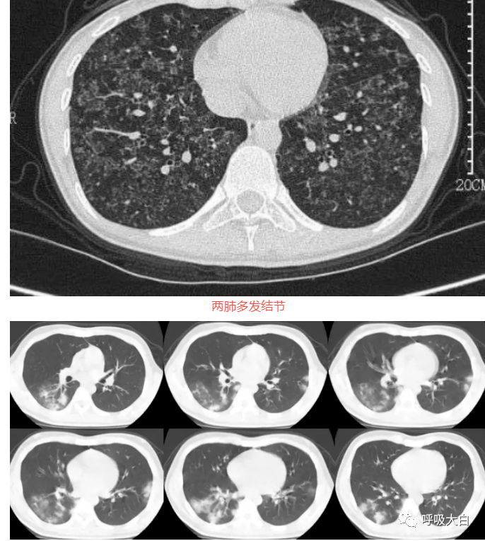
树芽征,即CT上形似树芽的征象,是由于小气道扩张,里面充满脓液、黏液、肉芽肿或炎性细胞,从而形成的。
从肺窗看到树芽征,要看纵隔窗,有时候是无意义的钙化,见图2。
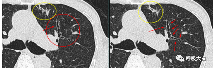
支气管形成的“轨道征”是由于支气管管壁和支气管周围纤维化,使支气管管壁增厚,当X线平面与相应支气管长轴平行时,由于增厚支气管壁之间的管腔内有气体衬托,影像上形成两条平行线状密度增高影,表现为轨道样阴影或呈管状阴影,称轨道征或管状阴影。
支气管形成的“轨道征”病理机制主要为支气管管壁和支气管周围反复炎症使支气管管壁纤维化、增厚阻塞,管壁结构(平滑肌、弹力纤维甚至软骨等)破坏,同时管内压增加或邻近肺内纤维化等外力的牵拉,使相应支气管柱状扩张。少数病例与先天遗传因素有关。
印戒征见于胸部CT扫描。它是由1个小圆形软组织密度影和1个围绕大圆形低密度空气影的环状软组织密度影构成。
反晕征是一种特殊的胸部 CT征象,表现为环状高密度影围绕着中央密度较低的肺部阴影。起初认为,反晕征为隐源性机化性肺炎的特征性的征象;但此后被报道见于多种其他疾病,如肺副球孢子菌病、肺淋巴瘤样肉芽肿病、肺结节病、侵袭性肺真菌病、活动性肺结核及肉芽肿性多血管炎( 原韦格纳肉芽肿),亦可见于继发于感染或胶原血管病的机化性肺炎。
在隐源性机化性肺炎,反晕征中央的磨玻璃影的病理基础是肺泡间隔的炎症和细胞脱屑及少量终末气腔内的肉芽组织, 而外周的环状高密度影则对应远端气腔( 细支气管、肺泡管、肺泡腔) 内的纤维机化。表现为反晕征的结节病,外周的环状高密度影对应着多发的肉芽肿。肺隐球菌病则对应着肉芽肿性炎,PAS 染色可见着红色荚膜的隐球菌。肺结核的 CT环状高密度影对应的病理是上皮样肉芽肿,伴或不伴干酪样坏死,抗酸染色阳性或阴性。
在肉芽肿性疾病,其外围的环状高密度影不光滑, 而在非肉芽肿性疾病,外围的高密度影则较为光滑,此特征可用于初步判断病理性质。
隐源性机化性肺炎(COP):
结节病:
肉芽肿性多血管炎(GPA):
肺栓塞:
晕征是指肺部CT上表现为围绕结节或肿块周围的略低于肿块密度而又高于肺实质密度的环形磨玻璃影。晕征最早用于描述局灶性侵袭性曲霉菌病灶周围出血的征象,被认为是肺部真菌感染的特异性影像表现。晕征中磨玻璃样影通常和结节出血相关,这些结节出血的机制包括:出血性梗死、血管炎、支气管动脉瘘以及坏死等。当然了,磨玻璃影还可以由肿瘤或炎症浸润周围肺组织造成。
肺隐球菌病:下图。肺隐球菌病的影像学表现多种多样,缺乏尤特异性。免疫功能正常者常使病灶局限形成肉芽肿结节,因此胸部 CT常见表现为单发或多发的结节肿块影,直径大小不等,边界清楚,可有分叶及毛刺,容易误诊为肺癌和肺转移瘤。其次还可表现为斑片浸润影、实变影和偏心后壁空洞。病灶多位于中下肺野外带分布,可伴有支气管充气征、晕征 。












